Размер шрифта: A A A
Цветовая схема: A A A

Наши работы | Центр стоматологии Небольсин

Здесь вы можете посмотреть работы наших врачей и записаться на прием к доктору, чья работа вам понравилась.
Все работы
Имплантация
Виниры
Компониры
Отбеливание зубов
Реставрация
Брекеты
Протезирование
Чистка зубов
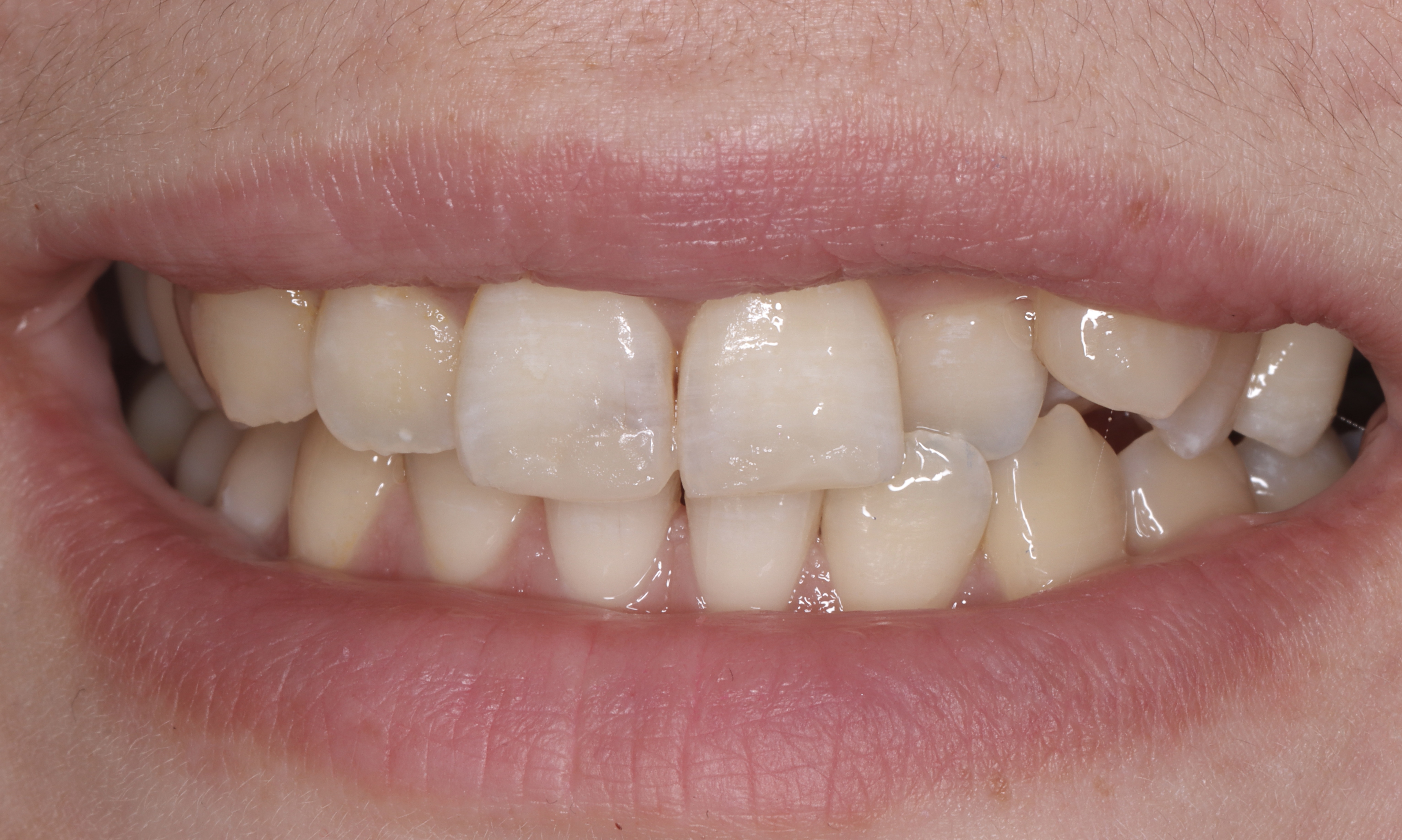
до
после
Замена старых пломб на керамические виниры
Стоматолог-ортопед на Ленина 12
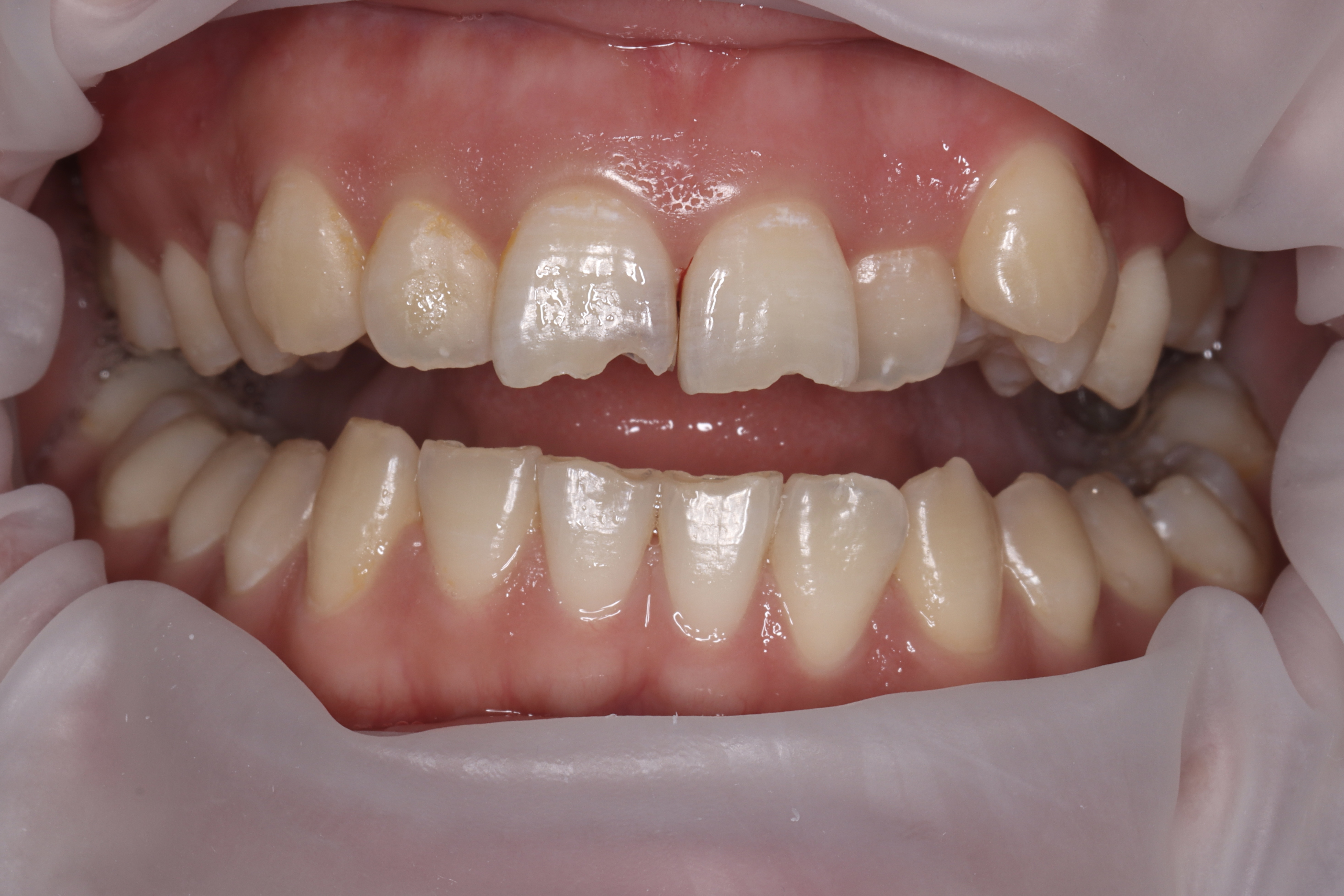
до
после
Эстетическая реабилитация керамическими винирами
Стоматолог-ортопед на Ленина 12
до
после
Функциональная и эстетическая реабилитация керамическими винирами​ -​ при патологической стираемости зубов
Стоматолог-ортопед на Ленина 12
до
после
Коррекция положения зубов, формы и цвета при помощи керамических виниров
Стоматолог-ортопед на Ленина 12
до
после
Компониры через год после установки
Стоматолог-терапевт на Ленина 12
до
после
Лазерное отбеливание зубов
Главный врач на Ленина 12, стоматолог-терапевт, обучающий врач-консультант Dental Trading Group по работе под микроскопом.
до
после
Керамические виниры
Стоматолог-ортопед на Ленина 12
до
после
Лазерное отбеливание зубов
Главный врач на Ленина 12, стоматолог-терапевт, обучающий врач-консультант Dental Trading Group по работе под микроскопом.
до
после
Эстетическая реставрация. Установка коронок E-max на свои зубы
Стоматолог-ортопед, заведующий отделением ортопедии на Ленина 12
до
после
Тотальная реабилитация зубов верхней и нижней челюсти. Установка имплантатов и коронок из диоксида циркония на имплантаты и на свои зубы.
Стоматолог-ортопед, заведующий отделением ортопедии на Ленина 12
до
после
Лечение на элайнерах, 12 месяцев
Заведующий отделением ортодонтии, стоматолог-ортодонт на Дзержинского 1/1
до
после
Лечение на элайнерах, 12 месяцев
Заведующий отделением ортодонтии, стоматолог-ортодонт на Дзержинского 1/1
до
после
Лечение на брекет-системе Н4, 16 месяцев
Заведующий отделением ортодонтии, стоматолог-ортодонт на Дзержинского 1/1
до
после
Лечение на лигатурной системе MiniDiamond, 20 месяцев
Заведующий отделением ортодонтии, стоматолог-ортодонт на Дзержинского 1/1
до
после
Лечение на лигатурной системе MiniDiamond, 20 месяцев
Заведующий отделением ортодонтии, стоматолог-ортодонт на Дзержинского 1/1
1 2 3 4 5 6
Для вашего удобства мы предлагаем лечение в рассрочку от банков-партнеров "Ренессанс Кредит" и "ОТП Банк"
  • Без процентов
  • Без переплат
  • Без первоначального взноса
  • Быстрое оформление прямо у нас в Центре Стоматологии
Запишитесь
на консультацию