Размер шрифта: A A A
Цветовая схема: A A A

Наши работы | Центр стоматологии Небольсин

Здесь вы можете посмотреть работы наших врачей и записаться на прием к доктору, чья работа вам понравилась.
Все работы
Имплантация
Виниры
Компониры
Отбеливание зубов
Реставрация
Брекеты
Протезирование
Чистка зубов
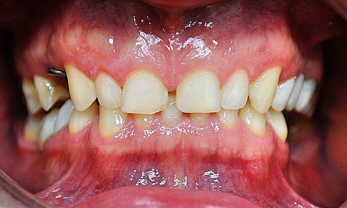
до
после
Компониры
Стоматолог-терапевт на Ленина 12
до
после
Художественная реставрация зубов
Стоматолог-терапевт на Ленина 12
до
после
Компониры
Стоматолог-терапевт на Ленина 12
до
после
Компониры ​- новая красивая улыбка ​за один день
Стоматолог-терапевт на Ленина 12
до
после
Компониры ​- новая красивая улыбка ​за один день
Стоматолог-терапевт на Ленина 12
до
после
Керамические виниры
Стоматолог-ортопед на Ленина 12
до
после
Керамические виниры
Стоматолог-ортопед на Ленина 12
до
после
Керамические виниры
Стоматолог-ортопед на Ленина 12
до
после
Закрытие диастемы (закрытие щели между зубами)
Стоматолог-терапевт на Ленина 12
до
после
Аппаратное отбеливание
Стоматолог-терапевт на Ленина 12
до
после
Художественная реставрация зуба
Стоматолог-терапевт на Ленина 12
до
после
Лазерное отбеливание зубов
Главный врач на Ленина 12, стоматолог-терапевт, обучающий врач-консультант Dental Trading Group по работе под микроскопом.
до
после
Лазерное отбеливание зубов
Главный врач на Ленина 12, стоматолог-терапевт, обучающий врач-консультант Dental Trading Group по работе под микроскопом.
до
после
Аппаратное отбеливание
Стоматолог-терапевт на Ленина 12
до
после
Коррекция положения зубов, формы и цвета при помощи керамических виниров
Стоматолог-ортопед на Ленина 12
1 2 3 4 5 6